症例集
各タブをクリックしてご覧ください。
総合治療(歯周病治療)
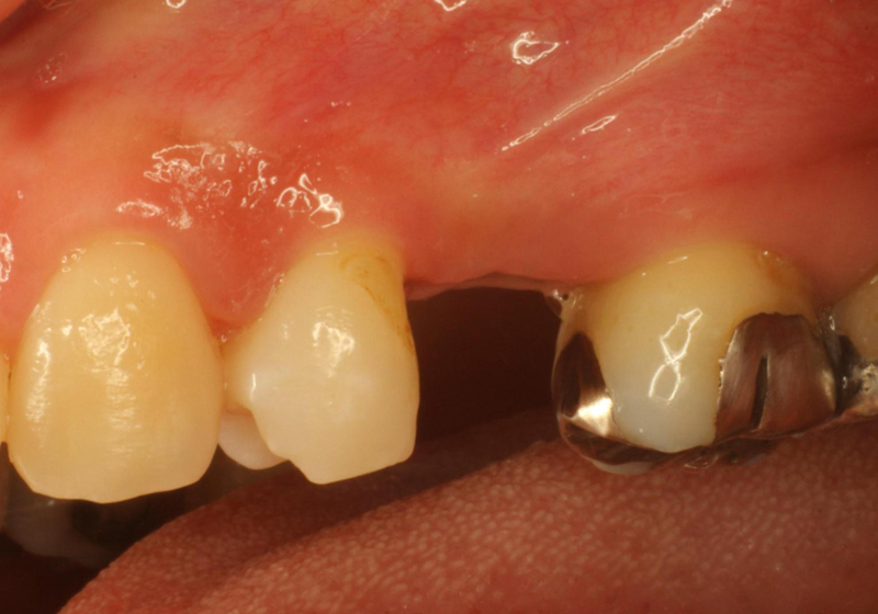
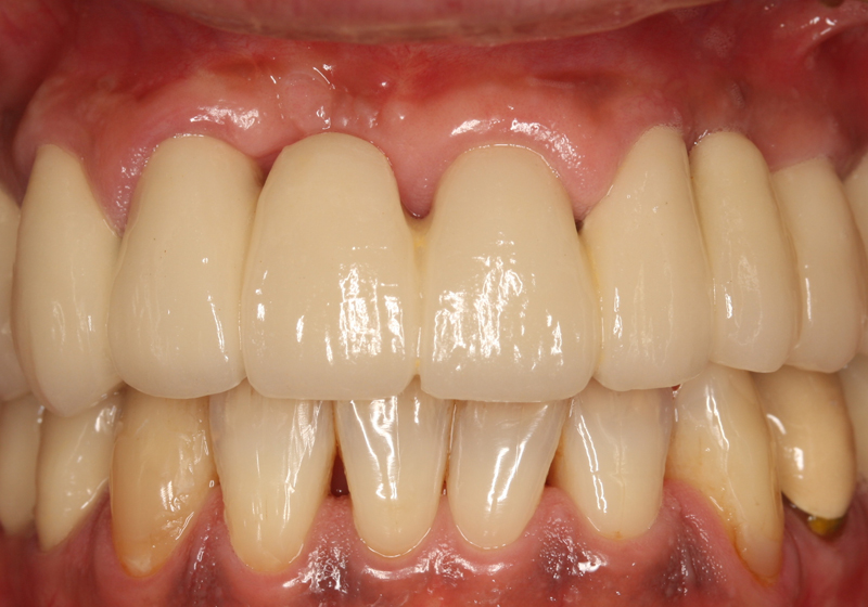
広汎型重度慢性歯周炎(45歳 女性)
主訴:歯茎が腫れるのを繰り返している
治療内容:口腔衛生指導(TBI)、スケーリング・ルートプレーニング、保存不可能な歯の抜歯、歯の位置が変わってしまっている歯の小矯正治療を行い、必要な部位に対しては歯周外科治療(歯周組織再生療法、フラップ手術、結合組織移植術)を行いました。その後、歯周補綴(ロングブリッジ)により咬合と審美性を回復しました。
術後は、歯ぎしりへの対応としてナイトガードを使用しています。
治療期間:約2年6ヶ月
治療費用:補綴費用(メタルボンドブリッジ、メタルボンドクラウン) 約 150万円
術前
術後
広汎型重度慢性歯周炎(50歳 女性)
主訴:奥歯の歯茎が腫れて痛い
治療内容:口腔衛生指導(TBI)、スケーリング・ルートプレーニング、保存不可能な歯の抜歯、下顎前歯部の小矯正治療を行いました。その後、歯周補綴(ロングブリッジ)と義歯により咬合と審美性を回復しました。
治療期間:約3年
治療費用:補綴費用(メタルボンドブリッジ、金属床義歯、ノンクラスプデンチャー) 約120万円
術前
術後
広汎型重度慢性歯周炎(64歳 女性)
主訴:歯が動いて前歯に隙間ができてきた。虫歯
治療内容:口腔衛生指導(TBI)、スケーリング・ルートプレーニング、保存不可能な歯の抜歯、改良型ホーレーのバイトプレーンにより上顎前歯部の小矯正治療を行いました。その後必要な部位に対しては歯周外科治療(歯周組織再生療法、フラップ手術)を行い、連結クラウンと義歯により咬合と審美性を回復しました。
治療期間:約2年4ヶ月
治療費用:歯周外科治療費、補綴費用(保険) 約10万円
術前
術後
広汎型浸襲性歯周炎(18歳 女性)
主訴:歯茎から血がでる
治療内容:口腔衛生指導(TBI)、スケーリング・ルートプレーニング、歯の保存のため必要な部位に対しては歯周外科治療(歯周組織再生療法、フラップ手術)を行いました。その後、全顎的な矯正治療を行い咬合の安定と審美性を改善しました。
治療期間:約4年
術前
術後
広汎型重度慢性歯周炎(55歳 女性)
主訴:1年以上通院していたが歯周病が治らない
治療内容:口腔衛生指導(TBI)、スケーリング・ルートプレーニング、保存不可能な歯の抜歯、必要な部位に対して歯周組織再生療法を行いました。その後、歯周補綴(ロングブリッジ)、部分床義歯により咬合と審美性を回復しました。術後は、歯ぎしりへの対応としてナイトガードを使用しています。
治療期間:約2年
治療費用:歯周外科治療費、補綴費用(メタルボンドブリッジ) 約150万円
術前
術後
広汎型重度慢性歯周炎(48歳 女性)
主訴:右下の歯が痛い。前歯に隙間ができてきた
治療内容:口腔衛生指導(TBI)、スケーリング・ルートプレーニング、保存不可能な歯の抜歯、全顎的な矯正治療を行いました。その後必要な部位に対しては歯周外科治療(歯周組織再生療法)を行い、連結クラウンと義歯により咬合と審美性を回復しました。
治療期間:約4年
治療費用:歯周外科治療費(歯周組織再生療法) 11万円、歯周矯正治療費 約40万円、補綴費用(保険)
術前
術後
歯周組織再生療法
50代男性
他医院で左下4番目5番目の歯の抜歯を勧められ、当院にセカンドオピニオンをもとめて来院された。非常に厳しい状態であるが、適切な歯周治療を行なうことにより抜歯せず機能させることができる可能性を説明。歯周組織再生療法により症状もなく健康な状態を取り戻すことができ、抜歯を回避することができた。
治療期間:1年半 治療費用:11万円
- 手術後に数日腫れることがあります。
- 改善度合いには個人差があります。
- 歯周組織再生療法は自費診療(保険適用外)となります。
術前
歯周病の進行により著しい歯槽骨吸収が認められる。
歯周ポケットは12mmであった。
術後
骨吸収の改善が認められる。
歯周ポケットは3mmとなった。
60代男性
歯周病が進行し、骨が溶けて歯がグラグラになってしまったため歯周組織再生療法を行いました。骨が回復し、歯の揺れが無くなり抜歯を回避することができた。
治療期間:約2年 治療費用:11万円
- 手術後に数日腫れることがあります。
- 改善度合いには個人差があります。
- 歯周組織再生療法は自費診療(保険適用外)となります。
術前
歯周病の進行により著しい歯槽骨吸収が認められる。
歯周ポケットは11mmであった。
術後
50代女性
3年前より他医院に通院するも良くならないため、当院にセカンドオピニオンをもとめて来院された。全顎的に非常に厳しい状態であったが、歯周組織再生療法により症状もなく健康な状態を取り戻すことができ、抜歯を回避することができた。
治療期間:約2年 治療費用:11万円
- 手術後に数日腫れることがあります。
- 改善度合いには個人差があります。
- 歯周組織再生療法は自費診療(保険適用外)となります。
術前
術後
術前
術後
インプラント
前歯のインプラント治療
インプラント埋入時にGBR(骨造成)を行いました。前歯部なので隣接する天然歯の色に合わせた上部構造を装着しました。
治療期間:6ヵ月 治療費用: 46.4万円
- インプラントは自由診療になりますので治療費が高額になります。
- 骨が成熟するのとインプラントと骨が結合するのを待つため治療期間が長くなります。
- 手術後に数日腫れることがあります。
前歯のインプラント治療
歯根破折にて前歯を3本抜歯後、インプラントを3本埋入、GBR(骨造成)を行いました。2次手術時には結合組織移植術を行い、その後ブリッジタイプの上部構造を装着しました。
治療期間:10か月 治療費用:138万円
- インプラントは自由診療になりますので治療費が高額になります。
- 骨が成熟するのとインプラントと骨が結合するのを待つため治療期間が長くなります。
- 手術後に数日腫れることがあります。
前歯のインプラント治療
インプラント埋入時にGBR(骨造成)を行いました。前歯部なので隣接する天然歯の色に合わせた上部構造を装着しました。
治療期間:6か月 治療費用:40万円

前歯は審美性を考慮したインプラント治療を行います
サイナスリフト(上顎洞底挙上術)
上顎洞までの骨の高さがないので、このままではインプラント治療が行えないためサイナスリフトを行いインプラントを埋入した。
治療期間 : 約1年
治療費用 : サイナスリフト 17万円、インプラント2本、上部構造3本(ブリッジタイプ) 88万円
- インプラントは自由診療になりますので治療費が高額になります。
- 骨が成熟するのとインプラントと骨が結合するのを待つため治療期 間が長くなります。
- 手術後に数日腫れることがあります。
術前CT画像
サイナスリフト後
サイナスリフト施行半年後インプラント埋入
上部構造装着
サイナスリフト(上顎洞底挙上術)
上顎洞までの骨の高さがないので、このままではインプラント治療が行えないためサイナスリフトを行いインプラントを埋入した。
治療期間:約1年
治療費用:
サイナスリフト 17万円
インプラント3本、上部構造5本(ブリッジタイプ) 138万円
- インプラントは自由診療になりますので治療費が高額になります。
- 骨が成熟するのとインプラントと骨が結合するのを待つため治療期間が長くなります。
- 手術後に数日腫れることがあります。
サイナスリフト前
サイナスリフト後
上顎洞粘膜を挙げ骨補填剤を填入した部位
術前
術後
インプラント周囲炎治療症例
10年程前に大学病院にてインプラント治療を受けたとのことであった。インプラント周囲粘膜より排膿と歯ぐきの腫れを認め、レントゲンではインプラント周囲に著しい骨吸収を認めた。インプラント周囲炎の改善を求めて外科治療を受けられた。
治療期間:3か月 治療費用:8万8千円
- 手術後に数日腫れることがあります。
- 改善度合いには個人差があります。
術前
インプラント周囲に感染による大きな骨吸収が認められる。
術後
骨吸収の改善が認められる。
他医院で8年程前にインプラント治療を受けたとのことであった。インプラント周囲粘膜より排膿と歯茎の腫れを認め、レントゲンではインプラント周囲の著しい骨吸収が認められた。
インプラント抜去は望まないことから、インプラント周囲炎の改善を求めて外科処置を受けられた。
治療期間:3か月 治療費用:8万8千円
- 手術後に数日腫れることがあります。
- 改善度合いには個人差があります。
術前
インプラント周囲炎により著しい骨吸収が認められる。
術後
骨吸収の改善が認められる。




































